15 de March de 2026

Blog Post

En Breve > News > Nacional > Repuntan casos de tuberculosis respiratoria en México durante inicio de 2026

Repuntan casos de tuberculosis respiratoria en México durante inicio de 2026

Mientras la atención sanitaria nacional se ha concentrado en el reciente brote de sarampión, la tuberculosis respiratoria muestra un incremento significativo en México durante las primeras semanas de 2026, de acuerdo con datos oficiales de la Secretaría de Salud.

Según el Boletín Epidemiológico correspondiente a la semana del 25 al 31 de enero de 2026, en ese periodo se registraron 334 nuevos casos de tuberculosis respiratoria en el país. Con ello, el acumulado anual asciende a mil 289 contagios, cifra que ya supera los mil 151 casos reportados durante el mismo lapso de 2025.

En la última semana analizada, Nuevo León encabezó la lista de entidades con mayor número de casos, al reportar 39, seguido de Baja California con 32, Veracruz con 28, Chiapas con 25 y Tamaulipas con 20.

A nivel acumulado, diez estados concentran la mayor carga de la enfermedad en lo que va del año. Veracruz registra 135 casos; Baja California, 125; Nuevo León, 115; Chiapas, 106; Tamaulipas, 80; Sonora, 59; Tabasco, 56; Jalisco, 54; Guerrero, 51, y Chihuahua, 47.

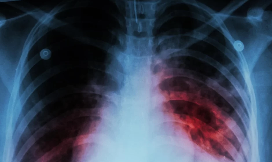
La tuberculosis respiratoria es una enfermedad infecciosa causada por la bacteria Mycobacterium tuberculosis. Aunque es prevenible y curable, las autoridades sanitarias subrayan la importancia de su detección oportuna y del apego estricto al tratamiento médico.

La enfermedad se transmite por el aire cuando una persona infectada tose, estornuda o escupe. La Secretaría de Salud advierte que una tos persistente de más de dos semanas puede ser un signo de alerta, por lo que se recomienda acudir a la unidad médica para realizar estudios de detección.

Entre los principales síntomas se encuentran tos persistente, en ocasiones con flema o sangre; fiebre; pérdida de peso; fatiga y sudoración excesiva, especialmente durante la noche. El tratamiento consiste en el uso de antibióticos por un periodo mínimo de seis meses, y su interrupción sin supervisión médica puede provocar resistencia a los medicamentos.

Asimismo, las autoridades recomiendan que las personas que conviven con pacientes diagnosticados con tuberculosis pulmonar se sometan a un Estudio de Contactos en su unidad de salud, con el fin de descartar contagios y cortar la cadena de transmisión.

Ante este panorama, la Secretaría de Salud reiteró el llamado a la población a no minimizar los síntomas respiratorios persistentes y a reforzar las medidas de prevención y atención médica oportuna.

Leave a comment

Tu dirección de correo electrónico no será publicada. Los campos obligatorios están marcados con *